本場イタリアの味を日本ならではの研究で生まれ変わらせた「北海道十勝 生モッツァレラ」

北海道の新鮮なミルクの豊かなコクを、程よい塩味が引き立てる「北海道十勝 生モッツァレラ」。“生”にこだわり、新鮮だからこそできるおいしい食べ方「ちぎりモッツァレラ」で食感と風味がさらに引き立つ商品です。明治独自のおいしいモッツァレラを食卓へ届けるため、製造方法や品質管理はもちろん、「なぜおいしく感じられるのか」まで研究してきた研究本部 山田 雅大主任研究員に話を聞きました。

生モッツァレラのおいしさは科学で見える化されている!

私は2009年に明治に入社し、軽井沢工場(現 長野チーズ工場)でプロセスチーズの製造管理を担当、2011年からは十勝工場でナチュラルチーズの製造管理に携わりました。そして2014年、後の「北海道十勝 生モッツァレラ」の開発が始まる際に研究本部へ配属され、現在に至ります。

「北海道十勝 生モッツァレラ」と、本場イタリア産のモッツァレラとの大きな違いは「日本人の舌に合うよう、ミルク感をより強く感じられる設計にしている」ところです。北海道産の生乳が持つ豊かなミルク感をお客さまにお届けしたいという思いから、その乳の風味をできるだけ前面に出す製法をとっています。また、生のままちぎって食べたり、焼いてとろりとのばしながら食べたり、さまざまな食べ方で食感まで楽しめるところも特長ですね。

特におすすめしている食べ方「ちぎりモッツァレラ」でなぜミルク感を強く感じられるのか、実は生モッツァレラの構造を観察することで科学的に裏付けされているんです。

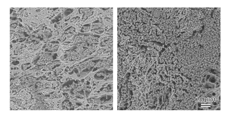
生モッツァレラの構造観察(走査型電子顕微鏡画像)
左:切断断面、右:ちぎり断面(ちぎり断面では球状の脂肪が広範に分布)

手でちぎることでモッツァレラの繊維状の組織がむき出しになり、ふわっとした食感が生まれます。表面積が増えるので、オリーブオイルやバルサミコ酢といったソースともよく絡んで、味を引き立ててくれます。また、層状になった脂肪とたんぱく質がめくれるようにちぎれる特性があるので、口に入れたときに脂肪がダイレクトに舌に乗ってミルク感がより強く感じられるのです。

グラフ:明治製法と伝統製法のモッツァレラ評価

左図は明治製法、つまり生モッツァレラと伝統製法のモッツァレラを食べ比べた評価です。右図は口の中に入れ、咀嚼して飲み込むまでの間、時間とともにミルク感がどのように、どれぐらいのレベルで感じられるかを、訓練されたパネリストが評価したものです。明治製法のモッツァレラはすぐに強くミルク感が感じられて、それがずっと長続きしているのに対して、イタリアの伝統製法のモッツァレラはミルク感の立ち上がりが緩やかで、弱くなるのも早いという結果から「ミルク感の感じ方に差がある」ことが見て取れます。

伝統製法のモッツァレラは、湯の中でモッツァレラのもとになる乳の塊を温め引き伸ばしながら作っていくため、その際にミルクの成分が湯に溶け出します。明治製法は、蒸気の中で乳の塊を練り、ミルクの成分をぎゅぎゅっと取り込んでいるのでミルクの風味がより強く残っているのです。

イタリアの職人技を、明治の厳しい「安全・安心」基準で再現するために

写真:研究風景 山田 雅大研究員

生モッツァレラの「手でちぎりやすいやわらかさ」も研究開発の難所のひとつでした。乳をモッツァレラにするには、乳酸菌の働きでpH(水素イオン濃度)を下げていって酸性化し、ストレッチ(練る)できる状態にしなければならないのですが、生モッツァレラはそのpHの下げ方にやわらかさと硬さのバランスをとる、明治オリジナルのポイントがあるのです。

商品開発の中でも、このpHの下げ方、酸性化の調整は非常に難しく、長期間の検討を要しました。酸性化が過度になると、やわらかすぎて包丁でも切りにくくなり、最終的にパッケージ内の保存液に溶けてしまう。逆に酸性化が不足すると、弾力の強いゴムボールのように硬くカチカチになってしまう。

イタリアでは職人がモッツァレラを手で触りながら品質を確認して、「よし、今がストレッチに適したタイミングだ」という、いわば職人の肌感覚に頼っている工程です。明治は安定生産と衛生管理のため、機械により自動化した工程を検討していたので、肌感覚を数値化し、装置のレシピで再現できるよう試行錯誤を繰り返しました。イタリアに出向き、職人から肌感覚を伝授いただいたのは良い経験でした。

生モッツァレラの“生”にも、開発メンバーのこだわりが

写真:インタビュー風景 山田 雅大研究員

チーズ公正取引協議会では「ナチュラルチーズに“生”と表示する場合は、乳酸菌が死滅していないこと」と定めています。生モッツァレラはミルク感を強めるにあたって、練る工程で蒸気を使用する明治製法を採用しています。そのため、熱がかかることにより、伝統製法よりも乳酸菌が少なくなってしまう課題があり、このままでは“生”を冠した商品名をつけられませんでした。

そこで、乳酸菌を研究しているチームに「熱に強く、明治製法でも生きぬける乳酸菌はいませんか」と相談して、あらためて乳酸菌ライブラリーから探してもらいました。そして、明治独自の乳酸菌を使うことで“生”を実現できた。私たちがこだわってきたことを商品名でも伝えられた実感はありますね。

チーズは非常に豊富な栄養素を含む食品ですが、日本人の年間のチーズ消費量は、欧米人の1割にしか満たないといわれています。チーズのようにカルシウムやたんぱく質が多い食品を食べることは健康増進や健康寿命の延伸に寄与できると考えられるため、我々としてはもっと消費量を増やしていきたい。一方で、世界に目を向けるとチーズの消費量は増えてきていて、リソースの取り合い、購入価格の上昇といった苦しい状況もあります。その中で、できるだけお客さまが手にとりやすく、なおかつ酪農家のみなさんが丹精込めて作った乳の価値を高められるような、そういう商品開発をしていきたいですね。